Advanced Trauma Care, Saving Lives with Speed & Precision!
READ MORE
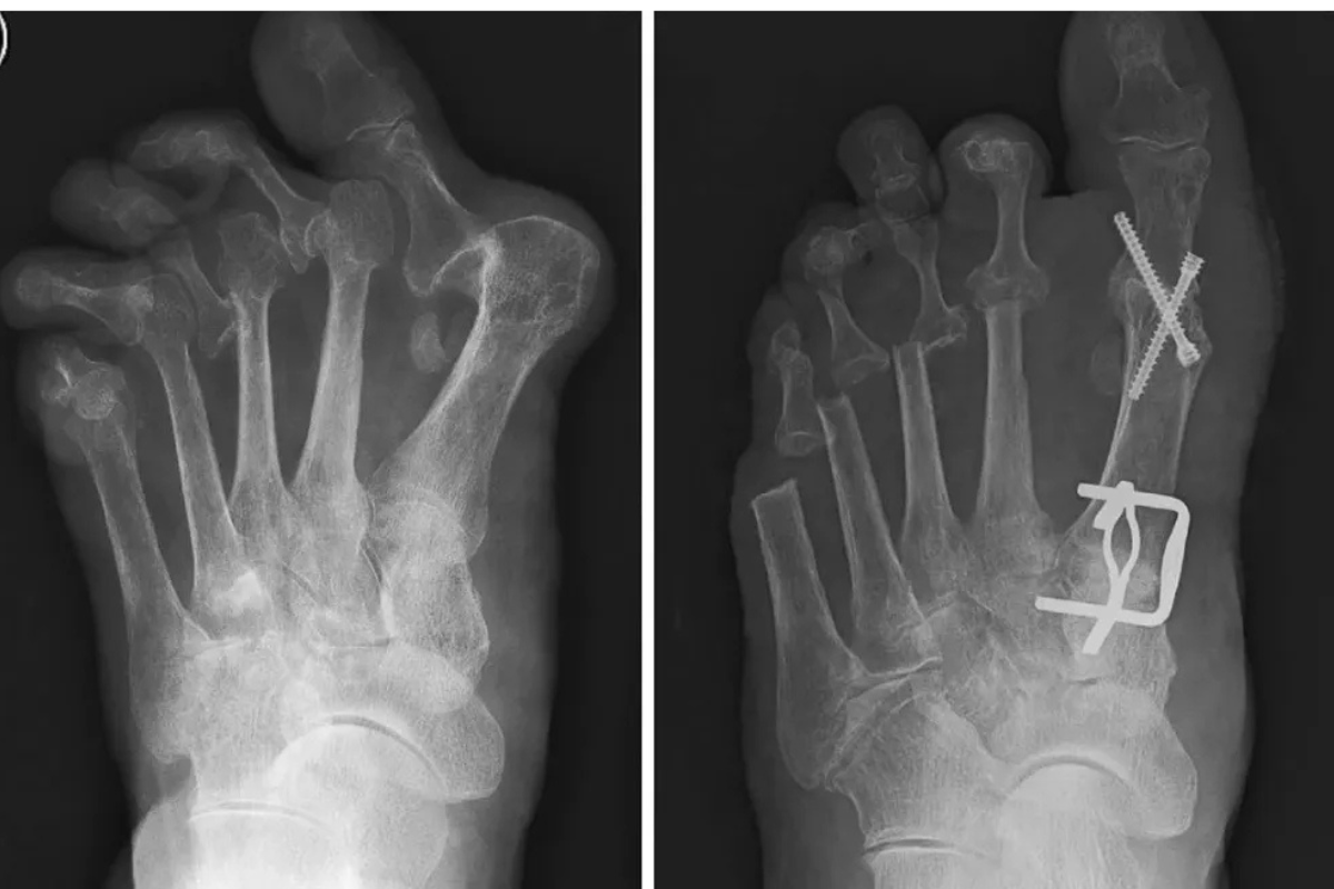
Expert surgical care for complex fractures, ensuring precise reconstruction and faster recovery.
READ MORE
Minimally invasive arthroscopy surgery for accurate diagnosis and effective joint treatment.
READ MORE
Advanced spine surgery for lasting relief from back and neck disorders with precision care.
READ MORE
Comprehensive joint replacement surgery for pain-free movement and improved quality of life.
READ MORE
Specialized surgical care for Rheumatoid Arthritis and Polio to restore mobility and enhance function.
READ MORE
Advanced Ilizarov surgery for limb lengthening, deformity correction, and complex fracture management.
READ MORE
High-end C-Arm imaging for precise, real-time guidance during complex surgical procedures.
READ MORE
Accurate and high-resolution X-ray imaging for quick and reliable diagnosis.
READ MORE
Fully equipped diagnostic laboratory offering accurate and timely test results for effective treatment planning.
READ MORE
Comprehensive physiotherapy care focused on pain relief, mobility restoration, and long-term recovery.
READ MORE
State-of-the-art Laminar Flow Operation Theater ensuring sterile environment and infection-free surgical procedures.
READ MORE
Uninterrupted power supply with 24-hour generator backup for seamless hospital operations and patient care.
READ MORE
Lift facility for easy and safe patient and visitor movement across all hospital floors.
READ MORE